ÁÙ´²²¡ÀíÑо¿
×ðÁú¿Ê±ÁÙ´²²¡ÀíÊÒΪÁ¥ÊôÓÚ²¡ÀíÑо¿²¿µÄGLPҽѧĥÁ·ÊµÑéÊÒ£»ÊµÑéÊÒÖ÷ÒªÈÏÕæ¼ì²â¶àÖÖ¶¯ÎïÉúÎﻯѧ¡¢ÑªÒºÑ§¡¢ÄýѪ¡¢ÄòÒºÆÊÎö¡¢ÄòÒº³ÁÔü¾µ¼ì¡¢ÁܰÍϸ°û·ÖÐÍ¡¢ÌåÍâÈÜѪ¡¢¹ÇËèͿƬ¾µ¼ìÒÔ¼°¶¯ÎïÌå¼ìµÈÏîÄ¿£¬Îª¶¯ÎïÊÔÑéÌṩ׼ȷ¿ÆÑ§µÄÄ¥Á·ÒÀ¾Ý¡£
2018ÄêÆðʵÑéÊÒ¼ÓÈëÁËÉϺ£ÊÐÁÙ´²Ä¥Á·ÖÐÐĵÄÊÒ¼äÖÊÆÀ£¬²¢Ò»Á¬ËÄÄêËùÓÐÏîÄ¿ËùÓм°¸ñ£¬È¡µÃÉϺ£ÊÐÁÙ¼ìÖÐÐĽÒÏþµÄÖ¤Êé¡£
ÎĵµÏÂÔØ
ÁÙ´²²¡ÀíÊÒÓµÓжą̀ÐÐÒµÄÚÏȽøµÄ¼ì²âÒÇÆ÷×°±¸£¬¿ÉΪ¿Í»§Ìṩ¸»ºñµÄ¼ì²âÏîÄ¿£¬¶àÖÖ¶¯ÎïÖÖÊôµÄѪҺÌåÒºµÈÑù±¾¼ì²âÆÊÎöЧÀÍ£¬Îª¿Í»§ÌṩÖÜÈ«µÄÇå¾²ÐÔÆÀ¼ÛÊý¾ÝÖ§³Ö¡£
×ðÁú¿Ê±ÁÙ´²²¡ÀíʵÑéÊÒÁÙ´²²¡ÀíѧÊÇͨ¹ý¼ì²éѪҺ¡¢×éÖ¯ºÍÌåÒº±êÔÀ´Ñо¿¶¯Îï»úÌå¼²²¡µÄÒ»ÃÅѧ¿Æ¡£
×ðÁú¿Ê±µÄÁÙ´²²¡ÀíʵÑéÊÒÏÖÓжą̀´óÐÍÆÊÎö×°±¸£¬°üÀ¨È«×Ô¶¯Éú»¯ÆÊÎöÒÇ¡¢È«×Ô¶¯ÑªÒºÆÊÎöÒÇÁ÷Ë®Ïß¡¢È«×Ô¶¯ÄýѪÆÊÎöÒÇ¡¢È«×Ô¶¯ÄòÒºÆÊÎöÒÇ£¬ÒÔ¼°Á÷ʽϸ°ûÆÊÎöÒǵȡ£ÒÇÆ÷×°±¸ÐÔÄÜÎȹ̣¬¼ì²âËÙÂʿ죬¼ì²âЧ¹û׼ȷ¿É¿¿¡£
ÁíÍ⣬ʵÑéÊÒͬʱ¿ªÕ¹Á˶àÏîϸ°ûÐÎ̬ѧĥÁ·ÏîÄ¿£¬ÈçѪϸ°ûÐÎ̬ѧĥÁ·¡¢ÄòÒº³ÁÔüϸ°ûÐÎ̬ѧĥÁ·¡¢ÒÔ¼°¹ÇËèϸ°ûÐÎ̬ѧĥÁ·µÈ¡£
ÁÙ´²²¡ÀíʵÑéÊҵļì²âЧÀÍ×ðÁú¿Ê±ÁÙ´²²¡ÀíÊÒ¿ÉÒÔÍê³É°üÀ¨Éú»¯ÆÊÎö£¬ÑªÒºÑ§ÆÊÎö£¬ÄýѪÆÊÎö£¬ÄòÒºÆÊÎö£¬ÃâÒ߯ÊÎö£¬Äò³ÁÔü¾µ¼ì£¬Ï¸°ûÐÎ̬ѧ¼ì²âµÈЧÀÍ£¬ÒÔ¼°ÌØÊâµÄÉú»¯ÆÊÎöÏîÄ¿¡£
ÌØÊâÉú»¯ÆÊÎöÏîÄ¿£º
³¬ÃôC-·´Ó¦ÂѰף¨hs-CRP£©ÃâÒßÇòÂѰ×A£¨IgA£©ÃâÒßÇòÂѰ×G£¨IgG£©ÃâÒßÇòÂѰ×M£¨IgM£©²¹ÌåC3²¹ÌåC4
×ÜѪºìÂѰף¨THb£©ÌÇ»¯ÑªºìÂѰף¨HbAlc£©ÌÇ»¯ÑªºìÂѰװٷֱȣ¨HbAlc%£©
ÄòËᣨUA£©
¦Á-µí·Ûø£¨AMY£©Ö¬·¾Ã¸£¨LPS£©
¸ßÃܶÈÖ¬ÂѰ׵¨¹Ì´¼£¨HDL-C£©µÍÃܶÈÖ¬ÂѰ׵¨¹Ì´¼£¨LDL-C£©
ÁÙ´²²¡ÀíʵÑéÊÒÒѾһÁ¬¶àÄê¼ÓÈëÉϺ£ÊÐÁÙ´²Ä¥Á·ÖÐÐĵÄÄÜÁ¦ÑéÖ¤ÓëÊÒ¼äÖÊÆÀÍýÏ룬ËùÓÐÏîÄ¿¾ù˳Ëìͨ¹ý£¬²¢»ñµÃÉϺ£ÊÐÁÙ´²Ä¥Á·ÖÐÐĽÒÏþµÄÖ¤Êé¡£


ѪҺѧÆÊÎö
Ѫϸ°ûÆÊÎöÊÇѪҺѧĥÁ·µÄÒ»¸öÖ÷Òª¼ì²âÏîÄ¿£¬ÎªÌá¸ß¼ì²âЧÂÊ£¬ÊµÑéÊÒʹÓÃѪҺÆÊÎöÒÇÁ÷Ë®ÏßÀ´¾ÙÐмì²â¡£ËùʹÓõÄSYSMEX XN-2000vÈ«×Ô¶¯ÑªÒºÆÊÎöÒǽÓÄÉÁ÷ʽϸ°ûÁ¬Ïµ¼¤¹âÊÖÒÕ¡¢µç×迹·¨ÆÊÎöÒªÁ죬¼ì²âЧ¹û׼ȷ¿É¿¿¡£
¼ì²âÏîÄ¿£ºCBC¡¢DIFF¡¢RET ¾ß±¸4¸ùͨµÀÓµÓÐ34Ïî׼ȷ¶È¼ì²â²ÎÊý£¬¾ßÓÐPLT-FͨµÀ¡¢L-WBCµÍÖµ°×ϸ°û¼ì²âģʽ¡¢´ó´óÌá¸ßÑùÆ·¼ì²âЧ¹ûµÄ׼ȷÐÔ¡£¸ÃÒÇÆ÷¿ÉÒÔ¼ì²â27ÖÖ¶¯Î19¸öÎïÖÖ£¬8¸öÑÇÖÖ£©£¬ÍêÈ«ÁýÕÖʵÑéËùÐèµÄÖÖÊô£¬ÁíÍâ¿Éƾ֤ÏîÄ¿ÐèÇó¶¨ÖÆÆÊÎöÄ£°å¾ÙÐÐÌØÊ⶯ÎïÖÖÊôÑùÆ·ÆÊÎö¡£È«×Ô¶¯ÑªÒºÆÊÎöÒÇÔÚË«»úÔËÐеÄÇéÐÎÊÂÇéЧÂʿɵִïÿСʱÆÊÎö¿ìÒª100¸öÑù±¾£¬ÓÐÓýÚԼʱ¼ä¡¢È˹¤±¾Ç®¡£»¹¿ÉÖ§³Ö×Ô¶¯ÉÏÑù¡¢ÊÖ¶¯ÉÏÑùģʽ¡¢¾ßÓÐȫѪģʽ¡¢Î¢Á¿ÑªÄ£Ê½£¬Ê¹ÓÃ΢Á¿ÑªÄ£Ê½¿É´ó´ó½ÚÔ¼¶¯ÎïѪҺÑùÆ·¾ÙÐÐÆÊÎö¡£

ÄýѪÆÊÎö
ÄýѪ¹¦Ð§ÊÇѪҺÓÉÒºÌå״̬ת±äΪÄý½º×´Ì¬µÄÀú³Ì£¬´ËÀú³ÌÊÇÓÉһϵÁÐÄýѪÒò×Ó¼ÓÈëµÄ¡¢ÖØ´óµÄø´Ù·´Ó¦ºÍ·Ö×Ó¾ÛºÏÀú³Ì¡£È«×Ô¶¯ÄýѪÆÊÎöÒÇÖ÷ÒªÓÃÓÚÕÉÁ¿ÊµÑ鶯ÎïѪ½¬Ö¹ÑªÓëѪ˨·Ö×Ó±ê¼ÇÎïµÄ¼ì²â£¬ÕâЩָ±êÓëʵÑ鶯ÎïÖÖÖÖ¼²»¼ÓÐ×ÅÇ×½üÁªÏµ£¬È綯ÂöÖàÑùÓ²»¯£¬ÐÄÄÔѪ¹Ü¼²²¡¡¢ÌÇÄò²¡¡¢ÐÂÎÅÂöѪ˨Ðγɵȡ£
ÁÙ´²²¡ÀíʵÑéÊÒËùʹÓõÄSYSMEX CS-5100È«×Ô¶¯ÄýѪÆÊÎöÒÇ£¬ÊÇÏÖÔÚÊÐÃæÉϽÏΪ¾«²ÊµÄ¸ßËÙÆÊÎöϵͳ£¬¸üÊǿɿ¿ËÝÔ´µÄÍêÕûÅäÌ×¼ì²âϵͳ¡£
¼ì²âÏîÄ¿£ºÄýѪøÔʱ¼ä¡¢»î»¯²¿·ÖÄýѪ»îøʱ¼ä¡¢ÏËάÂѰ×Ô¡¢ÄýѪøʱ¼ä¡£ÓµÓÐËÄÖÖ¼ì²âÒªÁ죬¶à²¨³¤¼ì²âϵͳ£»ÊÔ¼ÁÖÇÄÜÖÎÀí£»ÌõÂë×Ô¶¯Ê¶±ðµÈ¹¦Ð§¡£

ÄòÒºÆÊÎö
ÄòҺͨÀýÆÊÎöÊÇÈý´óͨÀýÄ¥Á·ÖеÄÒ»Ï×÷ÎªÉøÍ¸Îï¼ì²é£¬ÄòÒºÆÊÎöЧ¹û¿É·´Ó¦»úÌåµÄ´úл״̬£¬ÊÇÐí¶à¼²²¡Õï¶ÏµÄÖ÷ÒªÖ¸±ê£¬Ò²ÊÇÉöÔà»òÄò·¼²²¡µÄÕ÷Õס£²»ÉÙÉöÔಡ±äÔçÆÚ¾Í¿ÉÒÔ·ºÆðÂѰ×Äò»òÕßÄò³ÁÔüÖзºÆðÓÐÐÎÒòËØ¡£
¼ì²âÏîÄ¿£ºÄòµÄÑÕÉ«¡¢Íâ¹Û¡¢Ëá¼î¶È¡¢ÆÏÌÑÌÇ¡¢µ¨ºìËØ¡¢ÍªÌå¡¢±ÈÖØ¡¢ÂѰ×ÖÊ¡¢ÒþѪ¡¢Äòµ¨Ô¡¢ÑÇÏõËáÑκͰ×ϸ°û¡£½ÓÄÉ×Ô¶¯µÄ¶¨Á¿µãʽ·½·¨¼ÓÑù£¬×èÖ¹ÎÛȾ£¬·´ÉäÐÍÕÛÉäÂʲⶨ±ÈÖØ£¬Í¸ÉäÐͲâÎü¹â¶È¼ì²âÑÕÉ«¡¢Íâ¹Û£¬¼ì²âЧ¹û¸ü׼ȷ¿É¿¿¡£
ÃâÒ߯ÊÎö
ÃâÒ߯ÊÎöÊÇʹÓÿ¹ÔÓ뿹ÌåÔÚÌåÍâÌØÒìÐÔÁ¬Ïµ£¬ÔÙʹÓÃÁ÷ʽϸ°ûÒÇÀ´¼ì²â¡¢ÆÊÎöËùÐèÎïÖʵÄÒªÁì¡£ÔËÓÃÁ÷ʽϸ°ûÊõ¾ÙÐÐÁܰÍϸ°ûÑÇȺÆÊÎöÊÇÒ©ÎïÇå¾²ÐÔÆÀ¼ÛÑо¿Ö÷ÒªµÄ¼ì²âÏîÄ¿¡£ÁÙ´²²¡ÀíʵÑéÊÒÁ÷ʽϸ°ûÒÇÖ÷ÒªÓÃÓÚ¼ì²â¶¯ÎïѪϸ°ûµÄÁܰÍϸ°û±íÐÍÆÊÎö¡£Í¨Ì«¹ýÎö¸÷¸öÃâÒßϸ°ûȺµÄÊýÄ¿ºÍ¹¦Ð§£¬·´Ó¦³ö»úÌåÃâÒßϵͳµÄת±ä¡£


BD FACSLyric Á÷ʽϸ°ûÒÇÉèÖÃ3¼¤¹â12É«£¬¿ÉÒÔ´øÀ´¸ü¸ßЧ¼ì²âËÙÂʺ͸üÎÞаµÄÅäÉ«¼Æ»®£¬¸ü¾ßЧÂÊÓëÖÇÄÜ»¯ÐÔµÄ×Ô¶¯½øÑùϵͳ£¬¿ÉÑ¡ÔñÊԹܼܻò96¿×°å¾ÙÐÐÒ»Á¬½øÑùºÍÊý¾ÝÊÕÂÞ£¬¿ÉµÖ´ï35000events/sec¸ü¾«×¼µÄ¹â·×ÔÎÒµ÷Àí£¬FACSLyric¾ßÓÐ60ÌìÒ»´ÎµÄÓ«¹âÅâ³¥ÖµµÄ¸üй¦Ð§¡£¸üÏȽøµÄ²Ù×÷½çÃæ£¬¿Éʵʱ¼à²âÿһ¸öÑù±¾µÄ¼ì²â״̬ºÍ¼ì²âÖ¸±ê¡£
¼ì²âÏîÄ¿£ºTÁܰÍϸ°û¡¢BÁܰÍϸ°û¡¢NKϸ°ûµÈ

Éú»¯ÆÊÎö
ÁÙ´²Éú»¯Ö¸±êÖ÷ÒªÓÃÀ´¼ì²â̼ˮ»¯ºÏÎï¡¢Ö¬Àà¡¢ÂѰ×ÖÊ¡¢ÄòÒº¡¢¸Îµ¨¡¢ÐÄѪ¹Ü¡¢¼¡È⡢賦µÀϵͳµÄ´úл¡£ÕâЩ¼ì²âÖ¸±êÔÚÒ©ÎïÁÙ´²Ç°Ñо¿Öз´Ó¦Á˶Զ¯Îï»úÌå×ܵĴúл¡¢ÓªÑøºÍ¿µ½¡×´Ì¬µÄÓ°Ïì¡£
È«×Ô¶¯Éú»¯ÆÊÎöÒǽÓÄÉÄ£¿é»¯²¢ÐÐÊÂÇ飬¿É¿ìËÙÍê³É¼ì²â²¢±¨¸æÊý¾Ý£»ÓиüÎȹ̵ÄNa, K, CIµç¼«ÏµÍ³£¬×ÔÁ¦µç¼«£¬Ê¹Ñù±¾¼ì²âÔ½·¢¾«×¼£»ÒÇÆ÷ÄÚÖúãÎÂҺѻ·µÄ¸Éʽ·õÓýϵͳʹοظü׼ȷ¡¢Îȹ̣¬°ü¹Ü¼ì²âÊý¾ÝµÄ׼ȷÐÔ¡£4000¹â¶È·¨²âÊÔ/Сʱ£¬900µç½âÖʲâÊÔ/Сʱ(Àë×ÓÑ¡Ôñµç¼«·¨)£¬¿Éͬʱ¾ÙÐÐ 120¸öÆÊÎöÏîÄ¿¡£ÔöÌí×ÔÁ¦Öزâ¹ìµÀ£¬Ë«½øÑùϵͳÖÜȫ֪×ãÐèÒª£¬¸üÀû±ã£¬¸üÎÞа£¬¸üÇå¾²¡£
¼ì²âÏîÄ¿£º¸ÎÉö¹¦Ð§£¬Ð¦Ð§£¬ÑªÌÇѪ֬£¬µç½âÖʵÈ
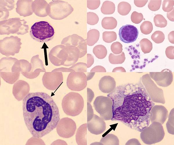
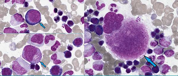
ÐÎ̬ѧ¼ì²â
ÁÙ´²²¡ÀíµÄÏÔ΢¾µÖ÷ÒªÓÃÓÚ£º
·à±ã¼ÄÉú³æ¼ì²é

ÌåÍâÈÜѪÊÔÑéÏÔ΢¾µÊÓ²ìϸ°ûÄý¼¯Õ÷Ïó

ÍâÖÜѪͿƬϸ°ûÐÎ̬·ÖÀà

¹ÇËèͿƬµÄϸ°ûÐÎ̬·ÖÀà

ΪSDÌṩ¶¯Îï¼ÄÉú³æÌå¼ìɸ²é¡¢²¿·ÖÌåÍâÈÜѪʵÑéÈ·ÈÏ¡¢ÑªÒºÏ¸°ûÆÊÎöÒǾµ¼ì¸´ºË¼°ÖÖÖÖÊô¶¯Îï¹ÇËèÓкËϸ°ûÔöÉúˮƽ¼°¶¾ÐÔת±äÌṩ²Î¿¼¡£
Ïà¹ØÊµÑéÊÒ
Ïà¹ØÎÄÕÂ