- ²¡ÀíѧÑо¿ÔÚÐÂÒ©Ñз¢ÁÙ´²Ç°Ñо¿ÖÐÊÎÑÝ×ÅÖ÷ÒªµÄ½ÇÉ«¡£ËüÉæ¼°¶à¸ö·½Ã棬°üÀ¨¶¯ÎïÄ£×ÓÈ·ÈÏ¡¢Ò©Îï×÷ÓûúÖÆ¡¢Æ÷¹ÙËðÉ˺Ͷ¾ÐÔ·´Ó¦µÈÑо¿ÀàÐÍ¡££¨1£©²¡ÀíѧÑо¿ÊÇÑо¿¼²²¡±¬·¢Éú³¤»úÖÆµÄѧ¿Æ£¬ÔÚÒ©ÎïÒ©ÀíҩЧѧÑо¿ÖУ¬¶Ô¶¯Îï¼²²¡Ä£×ÓÓë·ñ¿ÉÒÔÓÃÓÚÒ©ÀíҩЧµÄÆÀ¹ÀÖÁ¹ØÖ÷Òª£¬ÒÔ¼°ÔÚÔìÄ£ÀֳɵĻù´¡ÉÏ£¬¿ÆÑ§µÄÆÀ¼ÛҩЧѧ×÷Óᣣ¨2£©ÔÚÒ©ÎïÇå¾²ÐÔÆÀ¼ÛÖУ¬²¡ÀíѧÆÀ¹ÀÍùÍùÒ²ÊÇÆÀ¹ÀÒ©Îï¶¾ÐԵġ°½ð±ê×¼¡°£¬²¢ºÏÀí½«ÆäÓ¦ÓÃÓÚÍÆ²âÈ˵ÄÁÙ´²ÊÔÑéΣº¦ÆÀ¹À¡£½ø¶øÓÐÖúÓÚÖÆ¶©ºÏÀíµÄÁÙ´²ÓÃÒ©¼ÁÁ¿ºÍÓÃÒ©¼Æ»®£¬ÒÔïÔÌDZÔÚµÄÁÙ´²Î£º¦Î£º¦¡£´ÓÆÀ¹ÀµÄˮƽ½Ç¶È£¬²¡ÀíѧÑо¿³ýÁË¿ÉÒÔ¾ÙÐÐͨÀýµÄ¶¨ÐÔÆÀ¹À£¬»¹¿ÉÒÔÆ¾Ö¤ÐèÇó¾ÙÐж¨Á¿»ò°ë¶¨Á¿µÄÆÀ¹À£¬ÀýÈçÆÀ¼ÛÒ©Îï¶Ô²î±ðÆ÷¹ÙµÄËðÉËˮƽ¡¢ÓÃÈí¼þ¾ÙÐж¨Á¿ÆÊÎöµÈ¡£
´ÓÆÀ¹À¹æÄ£µÄ½Ç¶È£¬ÔÚÒ©ÀíҩѧÑо¿ÖУ¬Í¨³£¶ÔÏà¹ØµÄij¸ö»òij¼¸¸öÔàÆ÷¾ÙÐÐÆÀ¼Û£»¶øÔÚÇå¾²ÐÔ¶¾ÀíÑо¿ÖУ¬Í¨³£ÐèÒª¶Ô¶¯ÎïµÄÈ«ÊǸ÷ϵͳ¶àÔàÆ÷¾ÙÐв¡Àíѧ¼ì²éÆÀ¼Û¡£

- ×ðÁú¿Ê±µÄ²¡ÀíѧÑо¿Ð§ÀÍÆ½Ì¨¶Ô±ê¹ú¼ÊÁìÏȵÄÑо¿²Ù×÷Á÷³ÌºÍÖÊÁ¿ÏµÍ³£¬¾ßÓÐÍêÉÆµÄרҵ×ÊÖÊ£¬ÍêÕûµÄʵÑéÆ÷²ÄÒÔ¼°¸»ºñµÄÂÄÀú£¬Äܹ»ÊµÏÖ¸ßЧ£¬Îȹ̵IJ¡ÀíÑо¿Ð§ÀÍ¡£²¡ÀíѧÑо¿Ð§ÀÍÆ½Ì¨¿ÉÒÔΪÐÂÒ©Ñз¢µÄÒ©ÀíҩЧºÍÇå¾²ÐÔÆÀ¹ÀÌá¹©ÕæÊµ¿É¿¿µÄ¿ÆÑ§ÒÀ¾Ý¡£×ðÁú¿Ê±µÄ²¡ÀíѧÑо¿Ð§ÀÍÆ½Ì¨Ö÷Òª°üÀ¨ÁÙ´²²¡ÀíѧºÍ×éÖ¯²¡ÀíѧÁ½¸ö²¿·Ö¡£ÁÙ´²²¡Àíѧ¼ì²âÖ÷Òª°üÀ¨Í¨ÀýµÄѪҺѧ¡¢ÑªÇåÉú»¯¡¢ÄýѪ¹¦Ð§¡¢ÄòÒº¼ì²âºÍÃâÒßϸ°ûѧÆÊÎöµÈÓªÒµ¡£×éÖ¯²¡Àíѧ¼ì²éÖ÷Òª°üÀ¨ÊµÑ鶯ÎïÆÊ½â¡¢×éÖ¯²¡ÀíÇÐÆ¬ÖÆ×÷ºÍ²¡ÀíÕï¶ÏµÈÓªÒµ¡£
- ²¡ÀíÑо¿Æ½Ì¨ÊÂÇéÁ÷³ÌÁÙ´²²¡ÀíѧÑо¿µÄÊÂÇéÁ÷³Ìͨ³£°üÀ¨Ñù±¾ÊÕÂÞºÍÑùÌìÖ°Îö£¬¼´Êº²ÞѪҺ¡¢ÄòÒººÍ·à±ãµÈÑù±¾£¬ÒÔ¶Ô¶¯ÎïÌåÄÚµÄÐÄÀíÖ¸±ê¾ÙÐмà²âºÍÆÊÎö¡£ÕâЩÑù±¾¿ÉÒÔÓÃÀ´¼ì²âÒ©Îï¶ÔÉúÎïÌåµÄÓ°Ï죬Èç¸Î¹¦Ð§¡¢Éö¹¦Ð§ºÍÐÄѪ¹ÜµÈ·½ÃæµÄת±ä¡£×éÖ¯²¡ÀíѧÑо¿µÄÊÂÇéÁ÷³Ìͨ³£°üÀ¨¶¯ÎïÆÊ¼ì£¨°üÀ¨ÓäÒÝËÀ£©¡¢×éÖ¯ÇÐÆ¬ÖÆ×÷ºÍ²¡ÀíÕï¶ÏÆÊÎö£¬¼´¶ÔʵÑ鶯ÎïʵÑéÂé×íºóÊÕÂÞѪÑùÖ¶¯ÎïÓäÒÝËÀ¡¢ÊÕÂÞ¶¯ÎïµÄ×éÖ¯Ñù±¾£¬¾ÓÉÀο¿¡¢ÇÐÆ¬ºÍȾɫµÈ´¦Öóͷ£ºóÖÆ³É×éÖ¯ÇÐÆ¬£¬Ê¹ÓÃÏÔ΢¾µÊÓ²ìÆ÷¹Ù×éÖ¯µÄÐÎ̬ºÍ½á¹¹ÌØÕ÷£¬²¡Àíѧ¼Ò׫д²¡Àí±¨¸æ¡£×éÖ¯²¡ÀíѧÆÀ¹À±»ÒÔΪÊǶ¾ÐÔÆÀ¹ÀµÄ¡°½ð±ê×¼¡±¡£Í¨¹ý¶Ô×éÖ¯ÇÐÆ¬µÄÏÔ΢¾µÊӲ죬¿ÉÒÔÖ±¹ÛµØÏàʶҩÎï¶Ô×éÖ¯½á¹¹µÄÓ°Ï죬Èçϸ°û»µËÀ¡¢Ñ×Ö¢·´Ó¦¡¢ÏËά»¯µÈת±ä¡£

- ÁÙ´²²¡Àíѧ
ѪҺѧ
Hematology Hematology Hemoglobin(HGB) Neutrophil percentage (%NEUT) Hematocrit (HCT) Neutrophil absolute count (NEUT) Mean Corpuscular Hemoglobin(MCH) Lymphocyte percentage(%LYM) Mean corpuscular volume (MCV) Lymphocyte absolute count (LYM) Mean Corpuscular Hemoglobin Concentration(MCHC) Mononuclear percentage(%MONO£© Reticulocyte percentage (%RETIC) Mononuclear absolute count(MONO£© Reticulocyte absolute count(#RETIC) Basophilic percentage(%BASO) Platelet count(PLT) Basophilic absolute count (BASO£© Red blood cell (RBC) Eosinophilic percentage (%EOS) White blood cell (WBC) Eosinophilic absolute count (EOS) ÁÙ´²»¯Ñ§£¨Í¨ÀýÏîÄ¿£©
Clinical Chemistry Clinical Chemistry Alanine aminotransferase (ALT) Urea(UREA) Aspartate aminotransferase (AST) Creatinine(CREA) Alkaline phosphatase (ALP) Electrolyte (Na) Creatine kinase(CK) Electrolvte (K) ¦Ã-Gamma glutamyl transferase(GGT) Electrolyte (Cl) Cholesterol(TCHO)) Calcium (Ca) Triglyceride(TG)) Phosphorus(P) Total bilirubin(TBIL) Total protein (TP) Direct bilirubin (DBIL) Albumin(ALB) Glucose(GLU) Globulin (GLO) Albumin/globulin Ratio(A/G) ÄýѪ
Coagulation Prothrombin time (PT) Activated partial thromboplastin time (APTT) Fibrinogen (FBG) Thrombin time(TT) ÄòÒºÆÊÎö
Protein(PRO) Nitrite (NIT) Ketones (KET) Turbidimetry (gross observation) Blood (BLD£© Color (gross observation) Urobilinogen(URO) Specific Gravity Leukocytes(LEU) pH Glucose(GLU) Volume Bilirubin(BIL) Urine sediment Á÷ʽϸ°ûÊõ£¨Í¨Àý¾ÙÀý £©
Lymphocyte Phenotypic analysis ÁܰÍϸ°û±íÐÍÆÊÎöCD3+, CD3+CD4+, CD3+ CD8+CD3+ CD4+ / CD3+CD8+CD161+ , etcϸ°ûÒò×ÓÆÊÎö£¨Í¨Àý¾ÙÀý £©
IL2, 4, 6, 10IFN-¦ÃTNF-¦Á¹ÇËèͿƬ
¶Ô¹ÇËèͿƬÖеÄϸ°û¾ÙÐÐÊýĿͳ¼ÆºÍ·ÖÀà¡£Ö®ºóͨ¹ýÏÔ΢¾µÊÓ²ìºÍÆÊÎö¹ÇËèϸ°ûµÄÐÎÌ¬ÌØÕ÷£¬ÆÀ¹À¹ÇËèϸ°ûµÄ״̬ ¡£ÑªÒºÍ¿Æ¬
¶ÔѪҺͿƬÖеÄϸ°û¾ÙÐÐÊýĿͳ¼ÆºÍ·ÖÀàºó£¬ÊÓ²ìѪϸ°ûµÄÐÎÌ¬ÌØÕ÷ ¡£ÌØÊâÏîÄ¿
a-amylase(FAA) immunoglobulin A(lgA) High-density lipoprotein cholesterol(HDL) immunoglobulin G(lgG) Low-density lipoprotein cholesterol(LDL) immunoglobulin M (lgM) uric acid(UA) Complement C3 Lipase Complement C4 lactic dehydrogenase(LDH) glycosylated hemoglobin(HbA1c) - ×éÖ¯²¡ÀíѧÒÅÌåÆÊ½âÆ÷¹ÙÖØÁ¿ÕÉÁ¿×éÖ¯Àο¿ÏÔ΢¾µÊÓ²ìÏÔ΢¾µÊÓ²ì×éÖ¯ÇÐÆ¬ÖÆ×÷
ÒÅÌåÆÊ½â
×éÖ¯²¡ÀíѧÑо¿Í¨³£ÐèÒª¾ÙÐж¯ÎïµÄÒÅÌåÆÊ½â¡£³£ÓõÄʵÑ鶯Îï°üÀ¨´óÊó¡¢Ð¡Êó¡¢ÍÃ×Ó¡¢¹·¡¢Öí¡¢ºï×ӵȡ£¿ÉÒÔÓ¦ÓÃÓÚ²î±ðÀàÐ͵ÄÑо¿£¬°üÀ¨¶¾ÐÔÑо¿¡¢Ò©ÀíҩЧѧÑо¿ºÍ×éÖ¯ÂþÑÜÑо¿µÈ¡£Í¨³£°ì·¨×ñÕÕ£ºÓäÒÝËÀ¡¢²ÉѪ ÓäÒÝËÀ¡¢²ÉѪ¡¢ÆÊ½â¡¢Æ÷¹ÙÖØÁ¿¡¢×éÖ¯Àο¿¡£
Subject Type of study Subject Type of study TOX Tox-sigle dose PD Tumor models Tox-repeated dose Non-tumor models Tox-DART 1 PK Tissue distribution Tox-irritation test Research all animal tissues Tox-carcinogenicity ÏÔ΢¾µÊӲ죨Microscopically£©
ÔÚ×éÖ¯²¡ÀíѧÑо¿ÖУ¬Í¨³£»á¶ÔÆÊ½â»ñµÃµÄÆ÷¹Ù¾ÙÐÐÖØÁ¿ÕÉÁ¿£¬ÒÔÈ·¶¨Ò©Îï¶Ô¸ÃÆ÷¹ÙµÄÓ°Ïìˮƽ¡£»ñµÃµÄ×éÖ¯Ñù±¾»á¾ÙÐÐÀο¿´¦Öóͷ££¬ÒÔ¼á³Ö×éÖ¯½á¹¹µÄÍêÕûÐÔ¡£¾ÓÉÀο¿´¦Öóͷ£ºó£¬×éÖ¯Ñù±¾±»Ç¶ÈëʯÀ¯ÖУ¬ÇÐÆ¬²¢È¾É«¡£È»ºóʹÓÃÏÔ΢¾µÊÓ²ìºÍÆÊÎö×éÖ¯µÄÐÎ̬ºÍ½á¹¹ÌØÕ÷£¬ÒÔÆÀ¹ÀÒ©Îï¶Ô×éÖ¯µÄËðÉËˮƽ¡¢Æ÷¹ÙµÄ¹¦Ð§×ª±äÒÔ¼°Ò©ÎïÔÚ×éÖ¯ÖеÄÂþÑÜÇéÐΡ£
ʹÓÃÅþÁ¬LIMSϵͳµÄÌìÆ½¾ÙÐÐÔàÖØÊÓÁ¿³ÆÁ¿¼°Êý¾ÝÊÕÂÞ
Adrenal glands Pituitary Large intestine, rectum Skin Brain Aorta Throat Small intestine.duodenum Heart Bone with bone marrow, riba Lymph node, mandibular Small intestine. ileum (with gut-associated lymphoid tissue) Kidney Bone with bone marrow. sternum Lymph node, mesenteric Small intestine, jejunum Liver Bone with bone marrow.femur Mammary gland (malesand females) Cervical medulla Spleen Esophagus Nerve, sciatic Lumbar medulla Thymus Eyes (with optic nerves) Oviducts Thoracic medulla Ovaries Gallbladder Pancreas Stomach Uterus with cervix Gross lesion Prostate Tongue Testes Injection site (with surrounding blood vessels and muscles) Mandibular salivary gland Trachea Epididymides Tibiofemoral joint Parotid gland Ureter Thyroid and parathyroid glandsb Large intestine. cecum Sublingual salivary gland Urinary bladder Lungs with bronchi Large intestine. colon Skeletal muscle Vagina ±í¸ñչʾΪ²¡Àíѧ¼ì²éÊÕÂÞÔàÆ÷Çåµ¥ÁÐ±í£¬ºìÉ«×ÖÌåÔàÆ÷ΪͨÀý³ÆÖØÔàÆ÷£¬À¶É«ÎªÆ¾Ö¤ÐèÇ󣨶¯ÎïÖÖÊô»òÊÔÑéÀàÐÍ£©¿ÉÔöÌíµÄ³ÆÖØÔàÆ÷¡£
×éÖ¯ÇÐÆ¬ÖÆ×÷
ʯÀ¯ÇÐÆ¬³ÌÐò£º È¡Ñù¡¢×éÖ¯´¦Öóͷ££¨ÍÑË®¡¢³ÎÇå¡¢ÉÏÀ¯£©¡¢°üÂñ¡¢ÇÐÆ¬¡¢È¾É«£»Àä¶³ÇÐÆ¬³ÌÐò£º OTC °üÂñ¡¢ÇÐÆ¬¡¢È¾É«£»HE È¾É«ÌØÊâȾɫ£º PAS¡¢O ÓÍ¡¢Masson µÈ¡£IHC ȾɫÇÐÆ¬É¨Ã趨Á¿ÆÊÎö£º ͼÏñÆÊÎöÈí¼þȾɫ¾ÙÀý
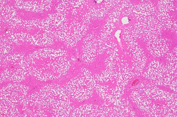
HEȾɫ
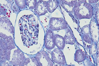
ÌìÀÇÐǺìȾɫ
PASȾɫ
MassonȾɫ
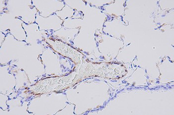
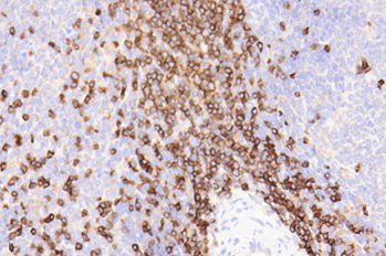
IHC-CD3
IHC-CD31
Õï¶Ï
×éÖ¯²¡ÀíѧÑо¿µÄÖ÷ҪĿµÄÖ®Ò»ÊÇÆÀ¹ÀÒ©Îï¶Ô¶¯ÎïÌåÄÚÆ÷¹ÙºÍ×éÖ¯µÄÓ°Ïì¡£¾ÓÉÏÔ΢¾µÊÓ²ìºÍÆÊÎö×éÖ¯µÄÐÎ̬ºÍ½á¹¹ÌØÕ÷£¬¿ÉÒÔÕï¶Ï³öÒ©Îï¶Ô×éÖ¯µÄËðÉËˮƽ¡¢Æ÷¹ÙµÄ¹¦Ð§×ª±äÒÔ¼°Ò©ÎïÔÚ×éÖ¯ÖеÄÂþÑÜÇéÐεȡ£Ã¿¸ö²¡Àíѧ¼Ò¾ùÅ䱸רÓõĹâѧÏÔ΢¾µ£¬¾ùÅäÓÐCCDͼÏñÊÕÂÞ¡£
Subject Type of study Subject Type of study TOX Tox-sigle dose PD Tumor models Tox-repeated dose Non-tumor models Tox-DART 1 Research all animal tissues Tox-irritation test Tox-carcinogenicity

×ðÁú¿Ê±²¡ÀíÑо¿Ð§ÀÍÆ½Ì¨µÄרҵ×ÊÖʰüÀ¨ÁÙ´²²¡ÀíѧNIFDCÈÏÖ¤µÄÉúÎïÆÊÎöʵÑéÊҺͶ¾Àí²¡ÀíѧʵÑéÊÒµÄÄÜÁ¦ÑéÖ¤»òʵÑéÊұȶԼ°¸ñÖ¤Êé¡£
ÓÉÉϺ£ÊÐÁÙ´²Ä¥Á·ÖÐÐĽÒÏþµÄÄÜÁ¦ÈÏÖ¤¼°¸ñÖ¤Êé¡£
¶¾Àí²¡ÀíѧʵÑéÊÒÏà¹ØÄÜÁ¦ÑéÖ¤¼°¸ñÖ¤Êé

- ÁÙ´²²¡ÀíѧʵÑéÊÒÖ÷ÒªÒÇÆ÷
±´¿ËÂü¿â¶ûÌØ AU5800 È«×Ô¶¯Éú»¯ÆÊÎöÒÇ
Sysmex ÄýѪÆÊÎöÒÇ
Sysmex È«×Ô¶¯ÄòÒºÆÊÎöÒÇ
Sysmex ѪҺÆÊÎöÒÇ
Èȶ³ÀëÐÄ»ú
·à±ãÆÊÎöÒÇ
37 ¡ãC µç¯
͸·ç³÷
ÆÊ½âÊÒ
È¡²ÄÊÒ
ÖÆÆ¬ÊÒ
ÃâÒß×黯ʵÑéÊÒ
ÔÄÆ¬ÊÒ
¶àÈ˹²ÀÀÏÔ΢¾µÊÒ
- ×éÖ¯²¡ÀíѧʵÑéÊÒÏà¹ØÊµÑéÉèÊ©
á⿨×Ô¶¯ÍÑË®»ú
Epredia °üÂñ»ú
á⿨ÏÔ΢ÇÐÆ¬»ú.
á⿨ȫ×Ô¶¯È¾É«·âƬ»ú
BOND RX ×Ô¶¯ IHC »úе
áâ¿¨ÔØ²£Æ¬´ò±ê»ú
á⿨ӫÏÊÃ÷΢¾µ
á⿨ǶÈëºÐ´ò±ê»ú
áâ¿¨ÔØ²£Æ¬É¨ÃèÒÇ
Èȶ³ÏÔ΢ÇÐÆ¬»ú