×ðÁú¿­Ê±

EN
EN
  • ÓªÒµ×Éѯ

    Öйú£º

    Email: marketing@medicilon.com.cn

    ÓªÒµ×ÉѯרÏߣº400-780-8018

    £¨½öÏÞЧÀÍ×Éѯ£¬ÆäËûÊÂÒËÇ벦´ò´¨É³×ܲ¿µç»°£©

    ´¨É³×ܲ¿µç»°: +86 (21) 5859-1500

    ÍâÑó£º

    +1(781)535-1428(U.S.)

    0044 7790 816 954 (Europe)

    Email:marketing@medicilon.com

ÔÚÏßÁôÑÔ¡Á
µã»÷Çл»
News information
ÐÂÎÅ×ÊѶ

Science£º¡°°©Íõ¡±ÒÈÏÙ°©ÖÕÓÚ·ºÆðÁËÖÎÁÆÐÂÊï¹â

2021-01-04
|
»á¼ûÁ¿£º
±öϦ·¨ÄáÑÇ´óѧÅåÀ×¶ûÂüҽѧԺµÄ¿ÆÑ§¼Ò¾ÙÐеÄÒ»ÏîÐÂÑо¿ÏÔʾ£¬ÔÚÐí¶àÒÈÏÙÖ×ÁöµÄÉú³¤Öо­³£±¬·¢µÄDNAÍ»±äËÆºõʹÕâЩ°©Ö¢Ò×ÊܳÆÎªPARPÒÖÖÆ¼ÁµÄÏÖÓÐÒ©ÎïµÄ¹¥»÷¡£
¸Ã·¢Ã÷¿ËÈÕ½ÒÏþÔÚÁË¡¶¿ÆÑ§Ï£Íû¡·ÉÏ¡£Ñо¿Åú×¢£¬ÔÚ×î³£¼ûµÄÒÈÏÙÖ×ÁöÀàÐÍÖУ¬¶à´ïÈý·ÖÖ®¶þµÄ»¼Õß²¡ÀýÔÚÖ×Áöϸ°ûÖÐȱʧÁ˸ûùÒòµÄÒ»¸ö¿½±´¡£±öϦ·¨ÄáÑÇ´óѧµÄ¿ÆÑ§¼Ò·¢Ã÷£¬Ö»¹ÜÕâÖÖɾ³ýËÆºõÓÐÖúÓÚÖ×ÁöÉú³¤£¬µ«Ö×Áöϸ°ûÖÐMYBBP1AÊ£Ó࿽±´µÄɥʧȴ¾ßÓÐÏà·´µÄ×÷Ó㬴Ӷø´ó´ó½µµÍÁËϸ°ûµÄÉú³¤¡£

Science£º¡°°©Íõ¡±ÒÈÏÙ°©ÖÕÓÚ·ºÆðÁËÖÎÁÆÐÂÊï¹â

¸ÃС×éͨ¹ýÔÚÒÈÏÙ°©Ï¸°ûºÍСÊóÄ£×ÓÖоÙÐеÄʵÑé֤ʵ£¬ËûÃÇ¿ÉÒÔʹÓóÆÎªPARP1ÒÖÖÆ¼ÁµÄÏÖÓÐÒ©ÎïÖеÄijЩ³ÉÔ±À´Ê¹ÓôËÎó²î£¬ÕâÖÖÒ©Îï¿ÉÒÔÔÚMYBBP1AÂѰ׵ÄˮƽÒѾ­ºÜµÍʱʹÆäʧ»î¡£ÏÖÔÚ£¬PARP1ÒÖÖÆ¼ÁÖ÷ÒªÓÃÓÚÖÎÁÆÂѳ²°©ºÍÈéÏÙ°©¡£
ϸ°ûÓë·¢Óýѧ½ÌÊÚ¿ÏÄá˹¡¤ÔúÀ×ÌØ£¨Kenneth Zaret£©²©Ê¿ÌåÏÖ£¬Ä³ÖÖÀàÐ͵ÄDNAȱʧÔÚÒÈÏÙ°©Öо­³£±¬·¢£¬ËûÃÇÔÚϸ°ûºÍ¶¯ÎïʵÑéÖз¢Ã÷£¬ÕâÖÖDNAȱʧʹÕâЩ°©Ö¢¶ÔÒÑÓÐÒ©ÎïÓÐÑ¡ÔñÐÔµÄÃô¸ÐÐÔ¡£ÕâÊÇÒ»¸öÁîÈËÕñ·ÜµÄ·¢Ã÷£¬ÓÉÓÚÏÖÔÚûÓÐÕë¶ÔÒÈÏÙ°©µÄ¸ßЧÖÎÁÆÒªÁì £»²¢ÇÒ£¬¸ÃÒªÁìÔ­ÔòÉÏ¿ÉÒÔÓÃÓÚѰÕÒÆäËû¾ßÓÐDNAÈ±Ê§ÌØÕ÷µÄ°©Ö¢µÄÐÂÖÎÁÆÒªÁì¡£

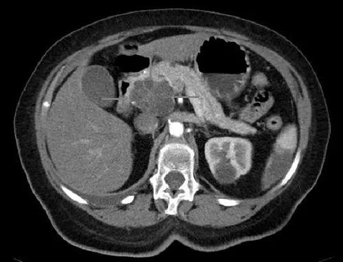
ÒÈÍ·°©ºÍÄÒÏÙ°©¾ßÓÐiv±ÈÕնȵÄÖáÏòCTͼÏñ£¨Í¼Æ¬ÈªÔ´:Science£©

ÒÈÍ·°©ºÍÄÒÏÙ°©¾ßÓÐiv±ÈÕնȵÄÖáÏòCTͼÏñ£¨Í¼Æ¬ÈªÔ´:Science£©

ÃÀ¹ú°©Ö¢Ð­»áÔ¤¼Æ£¬Ã¿ÄêÔÚÃÀ¹úÓпìÒª 60,000 È˱»Õï¶Ï»¼ÓÐÒÈÏÙ°©£¬ÆäÖнü 50,000 ÈËËÀÓÚÕâЩ°©Ö¢¡£ÒÈÏÙ°©µÄÖÎÓúÂʺÜÊǵÍ£¬Ö÷ÒªÊÇÓÉÓÚÕâЩ°©Ö¢ÍùÍù½öÔÚÍíÆÚ×îÏÈÔÚÌåÄÚÀ©É¢Ê±²Å±»·¢Ã÷£¬²¢ÇÒ¶Ô»¯Ñ§ÁÆ·¨ºÍÆäËûÁÆ·¨¾ßÓÐÏà¶ÔµÄ¶Ô¿¹Á¦£¬Òò´ËÆÈÇÐÐèÒª¸üºÃµÄÒÈÏÙ°©ÖÎÁÆÒªÁì¡£
ÒÈÏÙ°©¡¢ÒȹÜÏÙ°©»ò PDAC ÊÇ×î³£¼ûµÄÐÎʽ£¬Í¨³£¾ßÓв¿·Öɾ³ý 17 ºÅȾɫÌåµÄÌØÕ÷¡£ÈËÀàϸ°û¾ßÓÐ 22 ¶ÔȾɫÌåÒÔ¼°XºÍYÐÔȾɫÌå¡£ÔÚ PDAC ÖÐɥʧÁËµÚ 17 ºÅȾɫÌåÒ»¸ö¿½±´µÄÒ»²¿·Ö£¬Òâζ×ÅλÓÚ¸ÃȾɫÌåÉϵÄÐí¶à»ùÒò½öÊ£ÏÂÒ»¸ö¿½±´£¬Òò´ËÕâЩ»ùÒò±àÂëµÄÂѰ×ÖÊˮƽ½µµÍÁË¡£Õâ×îÖÕ»áÔö½øÊÜÓ°ÏìµÄ°©Ï¸°ûµÄÉú³¤£¬²¿·ÖÔµ¹ÊÔ­ÓÉÊÇÊÜÓ°ÏìµÄÂѰ×ÖÊÖ®Ò»ÊÇÖ×ÁöÒÖÖÆÎï P53£¬Ëüͨ³ £¿É×÷ΪǿʢµÄ¹ÊÕÏÇå¾²¿ª¹Ø£¬±ÜÃâϸ°ûÌ«¹ýÆÆËé¡£
ZaretʵÑéÊÒµÄÃÀ¹ú賦²¡Ñ§²©Ê¿ºóÑо¿Ô± Antony Hsieh ²©Ê¿ÔÚÑо¿Ê±´úÏëÖªµÀ£¬ÕâЩ 17 ºÅȾɫÌåȱʧÖÐÆäËû»ùÒòµÄɥʧÊÇ·ñ»áʹ PDAC ϸ°û±äµÃųÈõ£¬´Ó¶ø¿ÉÒÔʹÓÃδÀ´»òÏÖÓеÄÒ©Îï¾ÙÐпª·¢¡£Ëû×îÖÕÑ¡ÔñÁË MYBBP1A¡£
Hsieh¼°ÆäͬÊ·¢Ã÷£¬ÔÚȱʧ 17ºÅ ȾɫÌåµÄ PDAC ϸ°ûÖУ¬MYBBP1A µÄÒ»¸ö¿½±´É¥Ê§£¬Ê¹Ï¸°ûÔ½·¢°©±ä£¬´Ó¶øÔöÌíÁË P53 ²¿·ÖɥʧµÄ´ÙÉú³¤×÷Óá£ÁíÒ»·½Ã棬¿ÆÑ§¼Ò·¢Ã÷£¬Ê¹ÓûùÒò¹¤³ÌÊÖÒÕʹ MYBBP1A µÄÆäÓ࿽±´Ê§»î£¬ÓÐÓõØ×èÖÍÁË PDAC ϸ°û°©ÐÔÉú³¤µÄɲ³µ¡£
ͨ¹ý»ØÊ×ÉúÎïѧÎÄÏײ¢¾ÙÐÐ×Ô¼ºµÄʵÑ飬¿ÆÑ§¼Ò»¹·¢Ã÷ MYBBP1A ÂѰ××÷ÓÃÓÚϸ°ûºË DNA ÉÏ£¬ÒÔÔö½øÉú³¤»ùÒòµÄ»îÐÔ£¬²¢Óë³ÆÎª PARP1 ÂѰ׵ÄÂѰ×ϸÃÜÏ໥×÷Óá£ÕâÌåÏÖÁËÖÎÁƵÄʱ»ú£¬ÓÉÓÚÑо¿Ö°Ô±×î½ü¿ª·¢ÁËÒ»ÖÖ³ÆÎª PARP1 ÒÖÖÆ¼ÁµÄ¿¹°©Ò©Îï¡£
PARP1 ÒÖÖÆ¼Á±»Åú×¼ÓÃÓÚÖÎÁÆÈéÏÙ°©ºÍÂѳ²°©£¬Æä×÷ÓûúÀíÓë MYBBP1A Î޹ء£¿ÉÊÇ£¬Ä³Ð© PARP1 ÒÖÖÆ¼ÁËÆºõÊÇͨ¹ý½« PARP1 ÂѰײ¶»ñÔÚϸ°ûºËÖоíÇúµÄ DNAÉ϶ø²¿·ÖÆð×÷ÓõÄ¡£ÕýÈç Penn Medicine С×é·¢Ã÷µÄÄÇÑù£¬ÒÔÕâÖÖ·½·¨²¶»ñPARP1 µÄ PARP1 ÒÖÖÆ¼Á£¨¼´Ò©Îï olaparib ºÍ niraparib£©´ÓȾɫÌåÉÏÇãÔþÁ˲ÐÁôÁ¿µÄ MYBBP1A ÂѰ×£¬´Ó¶øÆÆËðÁËÆäÔÚϸ°ûºËÖеÄÉú³¤Ôö½ø¹¦Ð§¡£ÔÚ¾ßÓÐÁ½¸ö MYBBP1A »ùÒòµÄÊÂÇ鿽±´ºÍ¸»×ãµÄ MYBBP1A ÂѰ׹©Ó¦µÄϸ°ûÖУ¬ÕâЩҩÎïËÆºõÎÞЧ¡£¿ÉÊÇÔÚɥʧÁËÒ»·Ý MYBBP1A ¿½±´µÄ PDAC ϸ°ûÖУ¬ÕâЩҩÎï¾ßÓÐÖÕÖ¹Éú³¤µÄ×÷Óã¬ÀýÈçÍêÈ«Çóý MYBBP1A »ùÒò¡£
¸ÃÍŶÓÔÚʹÓà PDAC ϸ°ûµÄʵÑéÃóʵÑéÖÐ֤ʵÎúÕâÒ»µã£¬²¢Åú×¢£¬ÔÚÒÆÖ²ÁËȱÉÙÒ»¸öMYBBP1A ¿½±´µÄÈË PDAC ϸ°ûµÄСÊóÖУ¬Óà olaparib ÖÎÁÆÐ¡ÊóµÄÖ×ÁöÒª±Èδ¾­ÖÎÁƵÄδ¾­ÒÆÖ²µÄСÊóСµÃ¶à¡£
Ч¹ûÅú×¢£¬°ÂÀ­ÅÁÄáºÍÄáÀ­ÅÁÀû²¼¿ÉÄܶԳÉǧÉÏÍòÀýÒÈÏÙÖ×Áöϸ°û½öº¬ÓÐÒ»·ÝMYBBP1A µÄ»¼Õß¾ßÓÐʵÖÊÐÔÒæ´¦Ñо¿Ö°Ô±Ï£ÍûÕâЩ·¢Ã÷¿ÉÒÔÃãÀøÆäËûÈ˽«°©Ö¢ÖÐÒÅ´«ÎïÖʵÄËðʧÊÓΪ¿ª·¢Õë¶ÔÕâЩ°©Ö¢µÄÐÂÕ½ÂÔµÄʱ»ú¡£
Ñо¿Ö°Ô±½«Í¨¹ý½øÒ»²½µÄÁÙ´²Ç°ÊµÑéÒÔ¼°¾ÙÐÐ PARP1 ÒÖÖÆ¼ÁÔÚÑ¡¶¨µÄÒÈÏÙ°©»¼ÕßÖеÄÁÙ´²ÊÔÑ飬ÒÔ¼ÓËÙÆä PARP1 ÒÖÖÆ¼ÁÕ½ÂԵĿª·¢¡£×÷ΪÕâÏîÊÂÇéµÄÒ»²¿·Ö£¬¿ÆÑ§¼ÒÃÇÕýÔÚÓëҽѧ²©Ê¿ Kojo Elenitoba-Johnson £¬±öϦ·¨ÄáÑÇ´óѧҽѧ²©Ê¿ Peter C. Nowell ½ÌÊÚÒÔ¼°±öϦ·¨ÄáÑÇÖݸöÐÔ»¯Õï¶ÏÖÐÐÄÖ÷ÈÎÏàÖú£¬¿ª·¢Ò»ÖÖÄܹ»Õ¹ÏÖÒÈÏÙ°©»¼ÕߺÎʱ»¼²¡µÄÕï¶Ï²âÊÔ¡£

¹ØÓÚ×ðÁú¿­Ê±

×ðÁú¿­Ê±£¨¹ÉƱ´úÂ룺688202£©½¨ÉèÓÚ2004Ä꣬×ܲ¿Î»ÓÚÉϺ££¬ÖÂÁ¦ÓÚΪȫÇòÖÆÒ©ÆóÒµ¡¢Ñо¿»ú¹¹¼°¿ÆÑÐÊÂÇéÕßÌṩȫ·½Î»µÄÁÙ´²Ç°ÐÂÒ©Ñо¿Ð§ÀÍ¡£×ðÁú¿­Ê±µÄһվʽ×ÛºÏЧÀÍÒÔÇ¿ÓÐÁ¦µÄÏîÄ¿ÖÎÀíºÍ¸ü¸ßЧ¡¢¸ßÐԼ۱ȵÄÑз¢Ð§ÀÍÖúÁ¦¿Í»§¼ÓËÙÐÂÒ©Ñз¢Àú³Ì£¬Ð§Àͺ­¸ÇÒ½Ò©ÁÙ´²Ç°ÐÂÒ©Ñо¿µÄÈ«Àú³Ì£¬°üÀ¨Ò©Îï·¢Ã÷¡¢Ò©Ñ§Ñо¿¼°ÁÙ´²Ç°Ñо¿¡£×ðÁú¿­Ê±Ó뺣ÄÚÍâÓÅÖʿͻ§ÅäºÏÉú³¤£¬ÎªÈ«ÇòÁè¼Ý700¼Ò¿Í»§ÌṩÐÂÒ©Ñз¢Ð§ÀÍ£¬×ðÁú¿­Ê±½«¼ÌÐø×¤×ãÈ«ÇòÊÓÒ°£¬¾ÛÁ¦ÖйúÁ¢Ò죬ΪÈËÀ࿵½¡Ð¢Ë³ÊµÁ¦£¡

ÁªÏµ×ðÁú¿­Ê±
Email: marketing@medicilon.com.cn
µç»°: +86 (21) 5859-1500£¨×Ü»ú£©
Ïà¹ØÐÂÎÅ
ÊãдÒÈÏÙ°©ÖÎÁÆÐÂÆªÕÂ:pHÖµµ÷¿ØÄÉÃ×Ò©ÎïÔËËÍÊÖÒտɸßЧɱËÀ°©Ï¸°û
2021-02-04
¿°ÈøË¹³ÇÍËÎéÎäÊ¿ÊÂÎñÒ½ÁÆÖÐÐĺͱ±´ï¿ÆËûÖÝ´óѧµÄÑо¿Ö°Ô±Éè¼ÆÁËÒ»ÖÖÐµķ½·¨À´ÔËËÍÒÈÏÙ°©Ò©Î¿ÉÒÔʹ¶Ô¿¹ÕâÖÖ¼²²¡±äµÃÔ½·¢ÈÝÒס£½«°©Ö¢Ò©Îï·â×°ÔÚÄÉÃ׿ÅÁ£ÖпÉÒÔ¸üÓÐÓðÐÏòÖ×Áö£¬Í¬Ê±ÓÖÄܹ»×èÖ¹¶ÔÉíÌåÆäËû²¿Î»±¬·¢Î£º¦£¬¿ËÈÕ¸ÃÑо¿Ð§¹û½ÒÏþÔÚ·Ö×ÓÒ©¼ÁѧÔÓÖ¾ÉÏ¡£
Cell£ºÊ×´ÎÅжϳöÒÈÏÙ°©µÄDZÔÚÖÎÁưбê
2016-05-18
ÂéÊ¡×ÜÒ½Ôº(MGH)µÄÑо¿Ö°Ô±·¢Ã÷ÁËɱËÀ90%ÒÔÉÏ»¼ÕßµÄ×î³£¼ûÒÈÏÙ°©ÐÎʽµÄµÚÒ»¸öDZÔÚ·Ö×ÓÖÎÁưеã¡£
ÒÈÏÙ°©»òÒÔ¶àÖÖÀàÐÍϸ°û¾ÙÐа©Ö¢À©É¢
2015-08-17
Ñо¿ÕßÌåÏÖ£¬À´×ÔÔ­·¢ÐÔÖ×ÁöµÄϸ°ûÍùÍù»á¸üºÃµØ¸´ÖƺÍÉúÑÄ£¬ËûÃÇÔÚÑо¿Öмì²âÁ˾ßÓвî±ðÒÅ´«×é³ÉµÄϸ°ûȺ£¬Õâ¹ØÓÚ¸üºÃÃ÷È·´Î¼¶Ö×ÁöµÄ±¬·¢ÒÔ¼°ÆÊÎö°©Ö¢×ªÒƵĻúÌåÌṩÁËÒ»¶¨×ÊÖú¡£Îª´ËÑо¿Ö°Ô±¿ª·¢ÁËÒ»ÖÖСÊóÄ£×Ó£¬KrasºÍp53»ùÒòµÄÍ»±ä»áÒý·¢¼òµ¥Ö×Áöϸ°ûȺÌåµÄ±¬·¢£¬¶øÑо¿ÕßʹÓòî±ðÑÕÉ«µÄ±êÇ©¶ÔÕâЩϸ°ûȺÌå¾ÙÐбê¼Ç£¬ºÍÈËÀà»úÌåÀàËÆ£¬Ð¡Êó¾Í»áÔڴμ¶Î»µã±¬·¢Ö×Áö£¬ºÃ±È¸ÎÔà¡¢·Î²¿µÈ¡£
¡Á
ËÑË÷ÑéÖ¤
µã»÷Çл»
¡¾ÍøÕ¾µØÍ¼¡¿¡¾sitemap¡¿