1. ¶àÈá±ÈÐÇ (DOX)
¶àÈá±ÈÐÇ (DOX) ÊÇÒ»ÖÖ¿¹ÉúËØ£¬×Ô 1960 ÄêÔÂÒÔÀ´Òѱ»ÆÕ±éÓÃ×÷»¯ÁƼÁ¡£¶àÈá±ÈÐÇÊÇÒ»ÖÖ¸ßЧµÄÝì»·À໯ÁÆÒ©Î¿ÉÓÐÓÃÖÎÁƶàÖÖ¶ñÐÔÖ×Áö£¬µ«ÃÀÖÐȱ·¦µÄÊÇ»áÔÚÐí¶àÊÜÊÔÕßÖÐÒýÆðÐÄÔà¶¾ÐÔ¡£
2. ÄÉÃ×½ð¸Õʯ (ND)
ÄÉÃ×½ð¸Õʯ (ND) ÊÇ×îÓÐǰ;µÄ»¯Ñ§ÁÆ·¨ÔØÌåÖ®Ò»£¬¿ÉÊÇ£¬ËüÃÇÍùÍù»áÔÚÖü´æÊ±»òÕßµ±Ì»Â¶ÓÚ pH Öµ»òÀë×ÓÇ¿¶ÈµÄÉÔ΢ת±äʱ±¬·¢Èº¼¯Ð§Ó¦¡£
3. ÄÉÃ×½ð¸ÕʯºÍ¶àÈá±ÈÐǵϝºÏÎï(ND-DOX)
×÷ΪһÖÖÓÐÓÃÇÒÆÕ±éʹÓõϝÁƼÁ£¬¶àÈá±ÈÐÇÔÚÁÙ´²Ó¦ÓÃÖÐÒò¼ÁÁ¿¶¾ÐÔ¶øÓ°ÏìʹÓùæÄ££¬°üÀ¨ÀÛ»ýµÄÐÄÔà¶¾ÐԺ͹ÇËèÒÖÖÆ¡£ µÍ¼ÁÁ¿»ò»ºÂýÊͷŶàÈá±ÈÐÇ¿ÉÒÔÔ¤·À´ËÀั·´Ó¦£¬´Ó¶øÊµÏÖºã¾Ã»¯ÁÆ¡£ ÓÉÓÚȱ·¦ÌØÒìÐԺͰÐÏòµÝËÍ£¬ÄÉÃ×Ò©ÎïµÝËÍϵͳ¿ÉÓÃ×÷¿ËÑöÒ©ÐÔ¡£ ÄÉÃ×½ð¸Õʯ¾ßÓиߵÄϸ°ûÎüÊÕÂʺ͵͵Äϸ°û¶¾ÐÔ£¬±ðµÄ£¬¶àÈá±ÈÐÇ¿ÉÒÔÔÚ¼îÐÔÌõ¼þÏÂͨ¹ýÎïÀíÎü¸½¿ÉÄæµØ¸ºÔص½ÄÉÃ×½ð¸ÕʯÉÏ¡£ Òò´Ë£¬ÄÉÃ×½ð¸ÕʯÊÇÉè¼Æ¸ßЧҩÎïµÝËÍÄ˽×ÔØÌåºÍÖÎÁÆÏµÍ³µÄÓÐǰ;µÄÕ½ÂÔ¡£
±¬·¢ÄÍÒ©ºÍÒ©ÎïÍâÅÅÊǰ©Ö¢ÖÎÁƵÄÁ½¸öÖ÷ÒªÏÞÖÆÒòËØ¡£ÄÉÃ×½ð¸ÕʯµÝËÍϵͳ¿ÉÒÔ×èÖ¹ÔËÊäÂѰ׵ÄÏûºÄ£¬²¢±£´æ×ã¹»Á¿µÄÒ©Îï̻¶ÓÚ¼²²¡²¿Î»¡£
ÄÉÃ×½ð¸ÕʯºÍ¶àÈá±ÈÐǵϝºÏÎï(NDX)¿Éͨ¹ý½µµÍÔçÆÚéæÃüÂʺÍÒÖÖÆÖ×ÁöÉú³¤À´Ìá¸ßÖÎÁÆÐ§¹û£¬¶øµ¥¶À¸øÒ©ÔòûÓÐÏÔ×ŵÄÁÆÐ§£¬±ðµÄ£¬Ã»ÓÐÏÔ×ŵĹÇËèÒÖÖÆ¡£ ÓëСÊó¸ÎÖ×ÁöºÍÈéÏÙ°©Ä£×ÓµÄͨÀý¶àÈá±ÈÐÇÁÆ·¨Ïà±È£¬NDX ¸ÄÉÆÏ¸°ûµòÍöºÍÖ×ÁöÉú³¤ÒÖÖÆ£¬Í¬Ê±½µµÍ¶¾ÐÔ¡£ NDX µÝËÍϵͳ¿ÉÒÖÖÆÈéÏÙ°©¡¢×ªÒÆÐÔ¼¤ËØÄÑÖÎÐÔǰÏßÏÙ°©µÄ·Î×ªÒÆ£¬²¢ÓÐÖúÓÚïÔÌ»ñµÃ»¯ÁÆÁÆÐ§ËùÐèµÄ¶àÈá±ÈÐǼÁÁ¿¡£ ÄÉÃ×½ð¸Õʯ¸øÒ©ÌåÍâºÍÌåÄÚÄ£×ÓµÄ×ÛºÏÆÀ¼ÛÅú×¢£¬ND-Ò©Îï¿ÉÒÔÑÓÉìÒ©ÎïÊÍ·Å£¬¼ÓËÙÖ×Áöϸ°ûµòÍö£¬ïÔ̹ÇËèÒÖÖÆµÈÈ«Éí¸±×÷Óá£

Characterization of ND, DOX and NDX complex
4. ʹÓÃNa?ve beagle dog ÆÀ¹ÀÄÉÃ×½ð¸Õʯ-¶àÈá±ÈÐǸ´ºÏÎïµÄÇå¾²ÐÔ
ÔÚÕâÏîÑо¿ÖУ¬Ñо¿Ö°Ô±Ê¹ÓÃNa?ve Beagle DogÀ´ÆÀ¹ÀÄÉÃ×½ð¸ÕʯҩÎïµÝËÍÆ½Ì¨µÝËÍ DOX µÄÇå¾²ÐÔ¡£ µÚ 1-3 ×éµÄÐÛÐÔÓ×ÁäNa?ve Beagle Dog»®·Ö¾²Âö×¢Éä DOX¡¢ND ºÍ NDX¡£ µÚ 4 ×é´ÆÐÔÓ×ÁäNa?ve Beagle Dogͨ¹ý¾²Âö×¢Éä NDX¡£ µÚ 5 ×éÐÛÐÔÓ×ÁäNa?ve Beagle Dogͨ¹ý¸ÎÞ²Âö×¢ÉäNDX¡£ ËùÓÐÖÎÁÆ×é¾ùÒÔ 3.648 mg/kg µÄ¼ÁÁ¿Ë®Æ½¸øÒ©¡£ ¸øÒ©ºó£¬¶¯ÎïËæºó½øÈëÊÓ²ì½×¶Î£¬ÒÔÆÀ¹ÀÆä¿µ½¡×´Ì¬µÄ¿É¼ûת±ä¡£ ͬʱ£¬ÔÚ¸øÒ©Ç°ºóÊÕÂÞѪҺºÍÄòÒº¾ÙÐÐ×ÛºÏÆÊÎö¡£ Ч¹ûÅú×¢µ¥¶ÀʹÓöàÈá±ÈÐÇ»áÒýÆðÑÏÖØµÄËðÉË£¬¶ø NDX ¿ÉÏÔ׿õÇá¶àÈá±ÈÐǵ;ÐÔ¡£
Na?ve beagle dog ʵÑé²Ù×÷
´ËÏÎïʵÑéÊÇÓëÉϺ£×ðÁú¿Ê±
ÁÙ´²Ç°Ñо¿Æ½Ì¨×éÁªºÏ¾ÙÐеġ£ 13 Ö» Na?ve Beagle Dog·ÖΪ 5 ×飬µ¥´Î¾²Âö×¢É䣨IV£©¸øÓè 1 mg/mL ¶àÈá±ÈÐÇ£¨µÚ 1 ×飩¡¢1 mg/mL ÄÉÃ×½ð¸Õʯ£¨µÚ 2 ×飩¡¢ NDX »ìÐüÒº£¨µÚ 3-5 ×飩¡£ÎÞ¾úË® µÚ 1-4 ×é¾²Âö×¢É䣬µÚ5×é¸ÎÞ²Âö×¢Éä¡£
µÚ 5 ×éµÄ¶¯Îï½ÓÊÜÁË HPV ²å¹ÜÊÖÊõ£¬²¢ÔÚ¾ÙÐÐÑо¿Ö®Ç°»Ö¸´¼¸Ìì¡£ ƾ֤¸öÌåÌåÖØ¸øÓèÿֻÊÔÑ鶯ÎïµÄ¼ÁÁ¿Îª3.648mg/kg¡£ ¸øÒ©µ±ÌìÕÉÁ¿ÌåÖØ²¢¼Í¼¡£ÔÚ½ÓÏÂÀ´µÄÎåÌìÀ¶¯Îï¿ÉÒÔ×ÔÓÉÒûË®£¬µ«ÔÚÑо¿¿¢ÊÂʱÊÕÂÞѪÑù֮ǰ½ûʳסËÞ£¨ÖÁÉÙ 10 Сʱ£©¡£
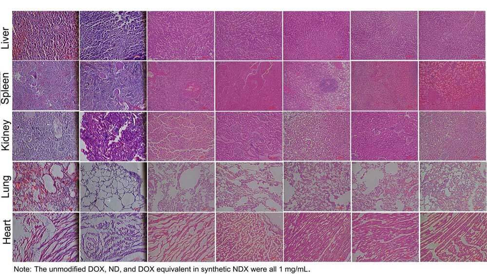
×éÖ¯²¡ÀíѧÆÊÎö
¶ÔÓöàÈá±ÈÐÇ¡¢ÄÉÃ×½ð¸ÕʯºÍ NDX ´¦Öóͷ£µÄNa?ve Beagle Dog¾ÙÐÐ×éÖ¯²¡ÀíѧÆÊÎö£¬²¢¶Ô¸ÎÔࡢƢÔà¡¢ÉöÔà¡¢·ÎºÍÐÄÔàµÄ×éÖ¯¾ÙÐÐËÕľ¾«ºÍÒÁºìȾɫ¡£ Ñо¿Ö°Ô±·¢Ã÷ʹÓþ²Âö×¢ÉäµÄ¶àÈá±ÈÐÇºÍ NDX ×éÖ®¼ä±£´æÏÔ×Ųî±ð¡£
¸ÎÔà×éÖ¯²¡ÀíѧÆÊÎöÅú×¢£¬Óà DOX ÖÎÁƵÄNa?ve Beagle DogÓиü´óµÄËðÉË¡£ ËÀµÄNa?ve Beagle Dog¸ÎÔà½á¹¹ÔÓÂÒ£¬ÓгöѪ£¬¸Îϸ°ûÏÔ×űäÐÔ£¬ÓÐÑ×֢ϸ°û¡£ÓöàÈá±ÈÐÇÖÎÁƵĴæ»îµÄNa?ve Beagle DogÔÚ¸ÎÔàÖÐÒ²ÓбäÐÔºÍÑ×֢ϸ°û¡£NDXHPV×éÒ²ÓÐһЩÉÔ΢µÄÍË»¯ºÍ½á¹¹ÔÓÂÒ¡£ ND-IV ºÍ NDX-IV ×éµÄ¸ÎÔà½á¹¹×ª±äÉÔ΢»òÏÕЩÕý³£¡£ Æ¢Ôà·½Ãæ£¬ÓöàÈá±ÈÐÇ´¦Öóͷ£µÄNa?ve Beagle Dog·ºÆð½á¹¹ÔÓÂÒ£¬ÓÃÄÉÃ×½ð¸Õʯ´¦Öóͷ£µÄNa?ve Beagle Dog»ù±¾ÉÏÊǺìË裬±äÐÔÏÔ×Å¡£ ±ðµÄ£¬Óà NDX-HPV ÖÎÁƵÄNa?ve Beagle DogÌåÏÖ³öÆ¢ÔàѪñ¼À©ÕźÍÍË»¯¡£ NDX-IV×éµÄÆ¢Ôàת±äÉÔ΢¡£
ÉöÔà×éÖ¯ÇÐÆ¬ÏÔʾ£¬ÓöàÈá±ÈÐÇÖÎÁƵÄNa?ve Beagle DogÏÔʾѪ¹ÜÓÐѪðöºÍÑ×֢ϸ°û¡£ ÓÃÄÉÃ×½ð¸Õʯ´¦Öóͷ£¹ýµÄNa?ve Beagle DogµÄÉöÔà·ºÆðÇá¶ÈÖÁÖжȱäÐÔ£¬¼äÖÊÏËά·ºÆðÔöÉú¡£ NDX-HPV×éµÄС¹Ü²»¹æÔò¡£ ÔÚÓà NDX-IV ÖÎÁƵÄNa?ve Beagle DogµÄÉöÔàÖнöÊӲ쵽ϸСת±ä¡£
·Î²¿×éÖ¯ÇÐÆ¬½øÒ»²½ÏÔʾ£¬ÓÃDOXÖÎÁƵÄNa?ve Beagle Dog·ÎÅÝÄÚÓдó×ÚÉøÍ¸Î·ÎëϸѪ¹ÜÄÚÓгöѪºÍÓÙÖÍ¡£ NDXHPV×é·ÎÅݱÚÓÐÑ×ÐÔ±äÐÔ£¬·ÎÅÝÉÏÆ¤ÔöÉú£¬¶øND-IVºÍNDXIV×éNa?ve Beagle Dog·Î½öÓÐÇá¶È²¡±ä¡£
ÓÃNDX-IVÖÎÁƵÄNa?ve Beagle DogµÄÐÄÔàδ¼ûÏÔ×ÅÒì³££¬¶øÓÃDOX-IV¡¢ND-IVºÍNDX-HPVÖÎÁƵÄNa?ve Beagle DogÏÔʾÐļ¡Ï¸°û±ä±¡¡¢¼äÖÊË®Öס¢Ðļ¡Ñ×µÄÖ¤¾Ý¡£ ×ÜÖ®£¬»ùÓÚ×éÖ¯ÐÎ̬ѧµÄЧ¹ûÅú×¢£¬¹ØÓÚÓà NDX-IV ÖÎÁƵÄNa?ve Beagle Dog£¬Ã¿¸öÆ÷¹ÙµÄ²¡±ä¶¼ÊÇÉÔ΢µÄ¡£ ÆäËûÖÎÁÆ×éµÄ¸Î¡¢Æ¢¡¢Éö¡¢·Î¡¢ÐÄÔà¾ùÓнÏÏÔ×ŵÄÒ»¶¨Ë®Æ½µÄËðÉË¡£

Histopathology of dogs treated with ND, NDX and DOX. Representative
ѪҺѧÆÊÎö
ѪҺѧÆÊÎöÅú×¢£¬ND-IV-M¡¢NDX-IV-M¡¢NDX-IV-F ºÍ NDX-HPV-M ²»»áÒýÆð°×ϸ°û¡¢ÑªÐ¡°å¼ÆÊý¡¢ÖÐÐÔÁ£Ï¸°ûºÍÁܰÍϸ°ûµÄÏÔ×Åת±ä¡£ ͬʱ£¬ÄÉÃ×½ð¸Õʯ»ò NDX ²»»áÒýÆðÑǼ±ÐÔÑ×Ö¢¡£ ƽ¾ùºìϸ°ûѪºìÂѰ×Çå¾²¾ùºìϸ°ûѪºìÂѰ×Ũ¶ÈÆÊÎöÅú×¢£¬DOX¡¢ND ºÍ NDX ×éÔÚÕý¹ßÀýÄ£ÄÚÏÕЩûÓв¨¶¯¡£ ÕâЩЧ¹ûÅú×¢£¬ÔÚÄÉÃ×½ð¸ÕʯºÍ NDX ×éÖУ¬IV ºÍ HPV ×¢Éä¾ùûÓÐÏÔ×ŵÄѪϸ°ûÍêÈ«ÆÆËð¼£Ïó¡£

Complete hematology profiles of dogs treated with ND, NDX and DOX.
ÄòÒºÆÊÎö
ËùÓÐNa?ve Beagle DogµÄÄòÒºÑù±¾ÔÚ¸øÒ©Ç°ºó¾ÙÐÐÁ˲âÊÔ¡£ ÄòÒºpHÖµÊÇÉöÔàµ÷ÀíËá¼îƽºâµÄÖ¸±ê¡£ Êý¾ÝÏÔʾ£¬ÄòÒº pH ÖµºÍÄòÒº±ÈÖØÔÚ¸øÒ©Ç°ºóûÓÐÏÔ×Ų¨¶¯¡£ µ«NDXM×éÄòÂѰ×ÏÔ×ÅÉý¸ß£¬ÌáÐÑÉöÑ×±¬·¢¡£ ×¢ÉäÄÉÃ×½ð¸ÕʯÈÜÒº36СʱºÍ60СʱºóNa?ve Beagle DogµÄÄòÒºÌåÏÖ³öÏàͬµÄת±äÇ÷ÊÆ¡£ ÈÈÁ¿ÊÍ·Å·åÃæ»ýËæÊ±¼äÔöÌíÅú×¢¸ü¶àµÄ ND ±»ÇãÔþ¡£ ¸üÖ÷ÒªµÄÊÇ£¬Ñо¿Ö°Ô±Í¨¹ý͸Éäµç×ÓÏÔ΢¾µ£¨TEM£©ÊÓ²ìÁËÄÉÃ×½ð¸ÕʯµÄ¿ÅÁ££¬Õâ֤ʵÁËÄÉÃ×½ð¸Õʯ¿ÉÒÔËæÄòÒºÇãÔþ¡£

Urinalysis analysis
×ܽá
ËäÈ»¶àÈá±ÈÐÇ (DOX) ÊÇÖÎÁư©Ö¢×î³£¼ûµÄ»¯ÁÆÒ©ÎïÖ®Ò»£¬µ«ÓÉÓÚ¼ÁÁ¿Ïà¹ØµÄ¶¾ÐÔ£¬±ØÐèÉóÉ÷ÖÎÀí DOX µÄʹÓ᣾ݱ¨µÀ£¬Óë DOX (NDX) Á¬ÏµµÄÄÉÃ×½ð¸Õʯ (ND) Ò©ÎïµÝËÍϵͳ¿ÉÔöǿСÊó°©Ö¢Ä£×ÓµÄÖÎÁÆÐ§¹û²¢Ï÷Èõ¶¾ÐÔ¡£±ðµÄ£¬ÆÕ±éµÄÉúÎïÏàÈÝÐÔÑо¿Åú×¢£¬·ÇÈËÀàÁ鳤ÀදÎïËÆºõ¶Ô ND ¾ßÓÐÓÅÒìµÄÄÍÊÜÐÔ¡£ÔÚNDXÁÙ´²×ª»¯Ö®Ç°£¬ÓÐÐëÒªÑéÖ¤NDÔÚ´óÐͲ¸È鶯ÎïÖеÄÇå¾²ÐÔ¡£´óÐͶ¯ÎïµÄÄÉÃ×Ò©ÎïÇå¾²ÐÔÑо¿²¢²»³£¼û£¬ÕâÏîÊÂÇé´ú±íÁ˽«ÔçÆÚÏ£ÍûÅþÁ¬¹âÁÙ´²ÆÀ¹ÀµÄÒªº¦Àï³Ì±®¡£ÔÚ´Ë£¬NDs ×÷ΪҩÎïÔËËÍÆ½Ì¨µÄÇå¾²ÐÔÔÚ Na?ve Beagle DogÖоÙÐÐÁËÆÀ¹À¡£¸ÃÑо¿Ê¹Óà DOX¡¢ND¡¢ºÍ NDX ÔÚË«ÐÔ±ð¶¯ÎïÄ£×ÓÖÐʹÓþ²Âö (IV) ×¢ÉäºÍ¸ÎÞ²Âö (HPV) ×¢ÉäÒªÁì¡£Ò»Á¬ 5 Ìì¼à²âNa?ve Beagle DogµÄ¿µ½¡±íÐÍת±ä¡£»ñµÃµÄѪҺºÍÄòÒºÓÃÓÚÁÙ´²²¡ÀíѧÑо¿¡£Ð§¹ûÅú×¢£¬ND ¸øÒ©Æ½Ì¨ÏÔ׿õÇáÁË Na?ve Beagle DogÄ£× DOX ¶¾ÐÔ¡£±¾Ñо¿Îª´óÐͶ¯ÎïˮƽµÄ NDX ÖÎÁƵÄÁÙ´²Ç°Çå¾²ÐÔÆÀ¹ÀÌṩָµ¼¡£
±¾Ñо¿×ÛºÏÆÀ¹ÀÁËʹÓà DOX¡¢ND ºÍ NDX ´¦Öóͷ£µÄË«ÐÔ±ðNa?ve Beagle DogÄ£×Ó¡£ ±ðµÄ£¬ÑéÖ¤ÁËͬÐÔ±ðNa?ve Beagle DogÖ®¼äµÄ HPV ºÍ IV ×¢Éä¡£ ²î±ð¸øÒ©´¦Öóͷ£µÄÅäºÏÑо¿Ð§¹ûÅú×¢£¬¶àÈá±ÈÐǵ¥¶ÀʹÓûá¶ÔNa?ve Beagle DogµÄ¸ÎÔࡢƢÔà¡¢·ÎºÍÉöÔàÆ÷¹ÙÔì³ÉË𺦡£ ×éÖ¯ÐÎ̬ѧЧ¹ûÅú×¢£¬NDX-IV×éûÓÐÏÔ×ŵį÷¹ÙËðÉË¡£ NDX-HPV ×éͨ¹ý×éÖ¯ÐÎ̬ѧºÍѪҺÆÊÎöÅú×¢¶Ô¸ÎÔàºÍÆ¢ÔàÓÐÉÔ΢µ«¿ÉÊӲ쵽µÄ¸±×÷Óᣠ±ðµÄ£¬Ïë·¨ÔÚÄòÒºÖмì²âµ½ ND£¬ÕâÅú×¢Æä´úл;¾¶¿ÉÄÜÊÇͨ¹ýÃÚÄòϵͳ¡£ ÕâЩÑо¿Îª NDX ÖÎÁƵÄÁÙ´²Ç°Çå¾²ÐÔÆÀ¹ÀÌṩÁËÖ÷Òª»ù´¡¡£ Ϊ°©Ö¢»¼ÕßÓÖÌṩÁËÒ»ÖÖеÄÓÐǰ;µÄÁÙ´²Ìæ»»¼Æ»®¡£
²Î¿¼ÎÄÏ×:
[1] Raven El Khoury , et al. Demonstration of doxorubicin's cardiotoxicity and screening using a 3D bioprinted spheroidal droplet-based system. RSC Adv. 2023 Mar 13;13(12):8338-8351. doi: 10.1039/d3ra00421j. eCollection 2023 Mar 8.
[2] Moustafa S Ali, et al. Towards more efficient inhalable chemotherapy: Fabrication of nanodiamonds-releasing microspheres. Int J Pharm. 2022 Oct 15;626:122169. doi: 10.1016/j.ijpharm.2022.122169.
[3] Liping Wang, et al. Safety evaluation of nanodiamond-doxorubicin complexes in a Na?ve Beagle canine model using hematologic, histological, and urine analysis. Nano Research. 2022.15: 3356¨C3366.
Ïà¹ØÍÆ¼ö:

×ðÁú¿Ê±Ò©ÎïÇå¾²ÐÔÆÀ¼ÛЧÀÍ
»ùÓÚ¹ú¼ÊÈÏÖ¤µÄAAALACÖÊÁ¿±ê×¼ºÍÒÀ´Ó¹ú¼Ê¡¢º£ÄÚGLP¹æ·¶µÄÒ©ÎïÇå¾²ÐÔÆÀ¼ÛÖÊÁ¿ÖÎÀíϵͳ¡£×Ô2008ÄêÒÔÀ´£¬ÎÒÃÇÒ»Á¬¶Ô±ê¹ú¼ÊË®×¼£¬¸ßÖÊÁ¿µÄÍê³ÉGLPµÄÇå¾²ÐÔÆÀ¼ÛЧÀÍ£¬½¨ÉèÁ˺ã¾ÃµÄÆ·ÅÆÐ§Ó¦¡£×ðÁú¿Ê±¿ÉÒÔ¿ªÕ¹º¸Ç¶à¶¾ÐÔÖÕµãµÄϵͳÆÀ¼ÛЧÀÍ£¬²¢ÓµÓйú¼ÊÈϿɵIJ¡ÀíѧÑо¿Ö§³Ö×ðÁú¿Ê±Çå¾²ÐÔÆÀ¼ÛÑо¿¡£

×ðÁú¿Ê±Ò©´ú¶¯Á¦Ñ§Ð§ÀÍ
×ðÁú¿Ê±Ò©´ú¶¯Á¦Ñ§ÊµÑéÊÒÒѾͨ¹ýNMPAµÄGLPÈÏÖ¤£¬ÊµÑéÑо¿×ñÕÕICH¡¢NMPAºÍFDAµÄÖ¸µ¼ÔÔò£¬¿ÉÒÔÆ¾Ö¤¿Í»§ÐèÇóÉè¼Æ²¢¿ªÕ¹ÌåÄÚ¡¢ÌåÍâÒ©´ú¶¯Á¦Ñ§ÊÔÑ飬Ϊ¿Í»§ÌṩһÕûÌ×Ò©´ú¶¯Á¦Ñ§ÆÀ¼ÛºÍÓÅ»¯Ð§ÀÍ¡£

×ðÁú¿Ê±ÁÙ´²²¡ÀíÑо¿Ð§ÀÍ
×ðÁú¿Ê±ÁÙ´²²¡ÀíÊÒΪÁ¥ÊôÓÚ²¡ÀíÑо¿²¿µÄGLPҽѧĥÁ·ÊµÑéÊÒ£»ÊµÑéÊÒÖ÷ÒªÈÏÕæ¼ì²â¶àÖÖ¶¯ÎïÉúÎﻯѧ¡¢ÑªÒºÑ§¡¢ÄýѪ¡¢ÄòÒºÆÊÎö¡¢ÄòÒº³ÁÔü¾µ¼ì¡¢ÁܰÍϸ°û·ÖÐÍ¡¢ÌåÍâÈÜѪ¡¢¹ÇËèͿƬ¾µ¼ìÒÔ¼°¶¯ÎïÌå¼ìµÈÏîÄ¿£¬Îª¶¯ÎïÊÔÑéÌṩ׼ȷ¿ÆÑ§µÄÄ¥Á·ÒÀ¾Ý¡£