¿ìËÙѪҺ¼ì²â¿Éʶ±ðÖØÖ¢¸ßΣº¦COVID-19»¼Õß
COVID-19´óÊ¢ÐÐÏÖÔÚ×îÁîÈËÀ§Èŵķ½ÃæÖ®Ò»ÊÇÒ½ÉúÎÞ·¨Õ¹ÍûÄÄЩÐÂסԺ»¼Õß»á¼ÌÐøÉú³¤³öһЩÑÏÖØ¼²²¡£¬¿ËÈÕʥ·Ò×˹»ªÊ¢¶Ù´óѧҽѧԺµÄ¿ÆÑ§¼ÒÅú×¢£¬Ïà¶Ô¼òÆÓºÍ¿ìËÙµÄѪҺ¼ì²é¿ÉÒÔÔÚÈëÔºÒ»ÌìÖ®ÄÚÕ¹Íûµ½ÄÄЩCOVID-19»¼Õß×îÓпÉÄܱ¬·¢ÑÏÖØ²¢·¢Ö¢»òéæÃü£¬¸ÃÑо¿Éæ¼°½ü100ÃûÐÂÈëÔºµÄCOVID-19»¼Õß¡£

ÑéѪ¿ÉÒÔÕÉÁ¿ÏßÁ£ÌåDNAµÄˮƽ£¬ÏßÁ£ÌåDNAÊÇÒ»ÖÖÆæÒìµÄDNA·Ö×ÓÀàÐÍ£¬Í¨³£×¤ÁôÔÚϸ°ûµÄÄÜÁ¿¹¤³§ÖС£ÏßÁ£ÌåDNAÒç³öϸ°û²¢½øÈëѪҺ£¬ÕâÅú×¢ÌåÄÚÕýÔÚ±¬·¢Ä³ÖÖÌØ¶¨ÀàÐ͵Äϸ°ûéæÃü¡£

£¨Í¼Æ¬ÈªÔ´£ºWandy Beatty£©
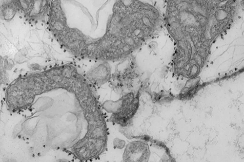
ÏßÁ£ÌåDNAˮƽÊÇ×éÖ¯ËðÉ˵ÄÁ¿¶È¡£Í¼Îª´ÓÈË·ÎÊͷŵÄÊÜËðÏßÁ£Ì壨Éî»ÒÉ«ÇøÓò£©¡£ÏßÁ£ÌåÖÜΧµÄСºÚµãÊÇ´ÅÐÔÖé×Ó£¬ÉÏÃæ´øÓп¹Ì壬ÕâЩ¿¹ÌåÓÃÓÚ¸ôÀëºÍÑо¿ÒÑ´ÓÃÖÁôµÄ×éÖ¯ÖÐÊͷųöÀ´µÄ²»¿µ½¡µÄÏßÁ£Ìå¡£
Ñо¿Ö°Ô±ÌåÏÖÒ½ÎñÖ°Ô±ÐèÒªÏàʶΪʲôijЩ»¼ÕßÔÚijЩÇéÐÎÏÂ»á½øÈëÕâÖÖ¸ßÑ×Ö¢ÐÔéæÃüÂÝÐý¡£Ñо¿Åú×¢£¬×éÖ¯ËðÉË¿ÉÄÜÊÇÕâÖÖÂÝÐýµÄÔµ¹ÊÔÓÉÖ®Ò»£¬ÓÉÓÚÏßÁ£ÌåDNAÊÇÊͷŵÄ×Ô¼º¾ÍÊÇÒ»ÖÖÑ×Ö¢·Ö×Ó¡£Ñо¿Ö°Ô±Ëµ£¬¸Ã²âÊÔ¿ÉÒÔ×÷ΪչÍû¼²²¡ÑÏÖØË®Æ½µÄÒªÁ죬Ҳ¿ÉÒÔ×÷Ϊ¸üºÃµØÉè¼ÆÁÙ´²ÊÔÑéµÄ¹¤¾ß£¬´Ó¶øÈ·¶¨¿ÉÄÜÊÜÒæÓÚÌØ¶¨Ñо¿ÖÎÁÆÒªÁìµÄ»¼Õß¡£
ÏÖÔÚÑо¿Ö°Ô±ÐèÒª¾ÙÐиü´óµÄÊÔÑéÀ´ÑéÖ¤ÔÚÕâÏîÑо¿Öз¢Ã÷µÄЧ¹û£¬µ«ÈôÊÇÄܹ»ÔÚ»¼ÕßÈëÔºµÄ×î³õ24СʱÄÚÈ·¶¨ËûÃÇÊÇ·ñÐèҪ͸Îö¡¢²å¹Ü»òÒ©ÎïÖÎÁÆÒÔ±ÜÃâѪѹϽµµÃÌ«µÍ£¬ÄÇÕ⽫¸Ä±ä¶Ô»¼Õß¾ÙÐзÖÀàµÄ·½·¨£¬²¢ÇÒ¿ÉÄÜ»á¸Ä±äÔçÆÚÖÎÁƵķ½·¨¡£
Ñо¿Ö°Ô±ÔڰͶ÷˹ÓÌ̫ҽԺÆÀ¹ÀÁË97ÀýCOVID-19»¼ÕßסԺµÚÒ»ÌìµÄÏßÁ£ÌåDNAˮƽ¡£ËûÃÇ·¢Ã÷£¬×îÖÕ½øÈëICU¡¢¾²å¹Ü»òéæÃüµÄ»¼ÕßµÄÏßÁ£ÌåDNAˮƽҪ¸ßµÃ¶à¡£Ñо¿Ö°Ô±·¢Ã÷ÕâÖÖ¹ØÁªÓ뻼ÕßµÄÄêËê¡¢ÐÔ±ðºÍ»ù±¾¿µ½¡×´Ì¬Î޹ء£Æ½¾ù¶øÑÔ£¬»¼ÓÐÑÏÖØ·Î¹¦Ð§Õϰ»ò×îÖÕéæÃüµÄCOVID-19»¼ÕßµÄÏßÁ£ÌåDNAˮƽºá¿çԼʮ±¶¡£Óë½ÏµÍˮƽµÄÈËÏà±È£¬Ë®Æ½½Ï¸ßµÄÈ˱»²å¹ÜµÄ¼¸Âʺá¿çÁù±¶£¬±»ËÍÈëICUµÄ¿ÉÄÜÐÔ¸ßÈý±¶£¬¶øéæÃüµÄ¼¸ÂÊÏÕЩÊÇÁ½±¶¡£
ϸ°ûÆÆËéºóÊͷųö°üÀ¨ÏßÁ£ÌåDNAÔÚÄÚµÄÄÚÈÝÎ¶øÏßÁ£ÌåDNA×Ô¼º»áÇý¶¯Ñ×Ö¢¡£ÔÚCOVID-19»¼ÕßÖУ¬ÓÐÖ¤¾ÝÅú×¢ÔڷΡ¢ÐÄÔàºÍÉöÔàÖÐÕâÖÖÀàÐ͵Äϸ°ûºÍ×éÖ¯Êܵ½Ë𺦡£Ñо¿Ö°Ô±ÒÔΪѪҺÖÐÏßÁ£ÌåDNAµÄÁ¿¶È¿ÉÄÜÊÇÖ÷ÒªÆ÷¹Ùϸ°ûéæÃüµÄÔçÆÚ¼£Ïó¡£
Ñо¿Ö°Ô±»¹Ç¿µ÷˵£¬¸Ã²âÊÔÔÚ´ó´ó¶¼Ò½ÔºÇéÐÎÖж¼¿ÉÒÔ¿ìËÙÖ±½ÓµØÖ´ÐУ¬ÓÉÓÚËüʹÓõÄÊÇÓë´¦Öóͷ£COVID-19 PCR²âÊÔ±ê×¼ÏàͬµÄ×°±¸¡£Ñо¿Ö°Ô±¿ª·¢µÄÒªÁìÔÊÐíÖ±½ÓÔÚѪҺÖж¨Á¿ÏßÁ£ÌåDNAµÄˮƽ£¬²»ÐèÒªÖÐÐİ취¾Í¿ÉÒÔ´ÓѪҺÖÐÌáÈ¡DNA£¬¸ÃÊÖÒÕÔÚ²»µ½Ò»¸öСʱµÄʱ¼äÄھͿÉÒÔ»ñµÃЧ¹û¡£
¹ØÓÚ×ðÁú¿Ê±
×ðÁú¿Ê±£¨¹ÉƱ´úÂ룺688202£©½¨ÉèÓÚ2004Ä꣬×ܲ¿Î»ÓÚÉϺ££¬ÖÂÁ¦ÓÚΪȫÇòÖÆÒ©ÆóÒµ¡¢Ñо¿»ú¹¹¼°¿ÆÑÐÊÂÇéÕßÌṩȫ·½Î»µÄÁÙ´²Ç°ÐÂÒ©Ñо¿Ð§ÀÍ¡£×ðÁú¿Ê±µÄһվʽ×ÛºÏЧÀÍÒÔÇ¿ÓÐÁ¦µÄÏîÄ¿ÖÎÀíºÍ¸ü¸ßЧ¡¢¸ßÐԼ۱ȵÄÑз¢Ð§ÀÍÖúÁ¦¿Í»§¼ÓËÙÐÂÒ©Ñз¢Àú³Ì£¬Ð§Àͺ¸ÇÒ½Ò©ÁÙ´²Ç°ÐÂÒ©Ñо¿µÄÈ«Àú³Ì£¬°üÀ¨Ò©Îï·¢Ã÷¡¢Ò©Ñ§Ñо¿¼°ÁÙ´²Ç°Ñо¿¡£×ðÁú¿Ê±Ó뺣ÄÚÍâÓÅÖʿͻ§ÅäºÏÉú³¤£¬ÎªÈ«ÇòÁè¼Ý700¼Ò¿Í»§ÌṩÐÂÒ©Ñз¢Ð§ÀÍ£¬×ðÁú¿Ê±½«¼ÌÐø×¤×ãÈ«ÇòÊÓÒ°£¬¾ÛÁ¦ÖйúÁ¢Ò죬ΪÈËÀ࿵½¡Ð¢Ë³ÊµÁ¦£¡
ÁªÏµ×ðÁú¿Ê±
Email: marketing@medicilon.com.cn
µç»°: +86 (21) 5859-1500£¨×Ü»ú£©

·ÖÏíµ½£º